無色透明なマウスピース矯正でも、以下のような状況では装置が目立ってしまうことがあります。それぞれの原因を知っておくことで、事前に対策を取ることが可能です。
- アタッチメントの使用
- 顎間ゴムの使用(ゴムかけ)
- マウスピースの変色
- マウスピースと歯の不一致
- 抜歯による歯の隙間
- リテーナーの種類
アタッチメントの使用

歯に装着する「アタッチメント」により、マウスピース矯正が目立つ場合があります。
アタッチメントとは、歯の表面に付ける小さな突起物のことで、マウスピースに力を伝えやすくして歯を効率的に動かす役割があります。
素材は歯に近い色のレジン(歯科用プラスチック)でできており、通常はそれほど目立ちませんが完全に歯と同化するわけではありません。特に前歯のような目立つ位置にアタッチメントが付くと、光の加減で白っぽく見えたり、影ができたりして存在が分かることがあります。
ただし、アタッチメントを使用するかどうかは、症例や歯科医師の方針によりけりであり、必ずしも使用されるわけではありません。
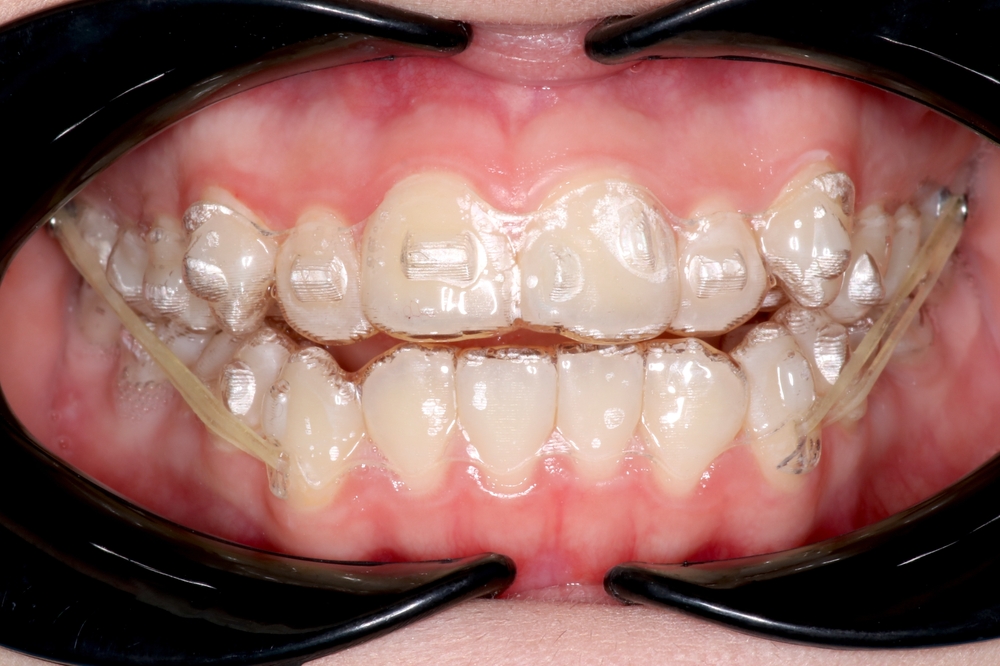
顎間ゴムの使用(ゴムかけ)

上下の歯にかける「顎間ゴム(エラスティック)」を使用する場合、ゴムが見えてマウスピース矯正が目立つことがあります。
顎間ゴムは噛み合わせの調整等に用いますが、ゴム自体は透明または半透明の乳白色で、ある程度の審美性が考慮されています。ただし、かける位置やゴムの太さによっては口を開けた際に線状に見えてしまうことがあります。
顎間ゴムは必要な期間のみ使用するものですが、幸いゴムの太さや色はある程度調整でき、透明度の高い細いゴムを選ぶことで目立ちにくくすることも可能です。それでもゴムかけ中は笑った時などにゴムが見える可能性があるため、接客業など人前に出る機会が多い方は事前に担当医と相談しておくと安心です。
マウスピースの変色

マウスピース自体が黄ばんだり、変色すると一気に目立ちやすくなります。
マウスピース矯正では、基本的に食事以外は一日中マウスピースを装着します。それゆえに唾液や歯の汚れが付きやすく、適切に清掃しないと徐々に透明度が失われていきます。
また矯正期間中は食事内容にも気を付ける必要があり、特にコーヒー・紅茶・お茶・赤ワイン・カレーなど色素の強い飲食物を習慣的に摂取すると、短期間でマウスピースが変色する恐れがあるため注意しましょう。
マウスピースと歯の不一致

マウスピースが歯にしっかりフィットしていないと、マウスピースと歯の間に浮きが生じ、その隙間が目立つようになります。
マウスピースと歯の不一致が起きる原因としては、装着時間の不足で計画通りに歯が動いていない場合や、新しいマウスピース交換直後でまだ歯に馴染んでいない場合、装置の破損などが考えられます。
このような状態は治療効果にも影響するため、もしマウスピースの浮きに気づいたときは早めに歯科医に相談することが望ましいです。
抜歯による歯の隙間
抜歯を伴う矯正治療の場合、抜歯直後の歯の隙間が目立ちやすくなります。
マウスピース矯正でも症例次第では小臼歯などを抜歯することがあり、抜歯直後はそこにぽっかりとスペースができるため、笑った時などに「歯がない部分」が周囲から見えてしまうことがあります。
特に上顎の小臼歯(前から4番目・5番目)を抜いた場合、横から隙間が見えやすく、治療初期には気になるかもしれません。抜歯で生まれたスペースは歯の移動に準じて徐々に埋まり、平均して半年から1年ほどで大きく目立たなくなっていきます。
なお、期間が長いと感じる場合は「ポンティック」という仮歯を入れる処置を検討しましょう。抜歯が必要なケースでも、このような工夫によって目立たないように対応できます。
リテーナーの種類

矯正治療後に使用するリテーナー(保定装置)の種類でも、見た目の目立ちやすさに差があります。
リテーナーは矯正後の歯並びを安定させるための装置ですが、大きく分けて「マウスピース型リテーナー」と「ワイヤー固定型リテーナー」の2つがあります。
前者のマウスピース型は、矯正装置と同様に透明な素材で作られており、装着していてもほとんど見えません。ただし、長期間使い続けていると徐々に黄ばみやくもりが発生し、透明感が損なわれると目立つようになります。日々の清掃はもちろん、経年劣化で寿命を迎えた場合は作り替えも必要です。
一方、固定式リテーナーには歯の裏側に細いワイヤーを接着するタイプがあり、こちらは前から見てもワイヤーが見えないので非常に審美性に優れます。ただし、取り外し式で表側にワイヤーが通る古典的なリテーナー(ホーレー型など)の場合、前歯部に細い針金がかかるため目立って見えてしまいます。
このように、リテーナーも種類によって「見えにくさ」が異なるため、治療後の見た目が気になる方は事前に歯科医と相談してリテーナーのタイプを選ぶと良いでしょう。
人前に立つ機会が多い方へ
\ 目立たない矯正はこちら /