
「すきっ歯を治したいんだけど、費用や治療期間はどれくらいなんだろう?」と疑問をお持ちではありませんか?
また、人によっては「前歯の隙間だけを治したいができる?」「健康保険を使って治療したいができる?」といった疑問や希望もあるかと思います。
本記事では、すきっ歯の基本情報からはじめ、費用・期間をわかりやすく解説していきます。

25.12.25

「すきっ歯を治したいんだけど、費用や治療期間はどれくらいなんだろう?」と疑問をお持ちではありませんか?
また、人によっては「前歯の隙間だけを治したいができる?」「健康保険を使って治療したいができる?」といった疑問や希望もあるかと思います。
本記事では、すきっ歯の基本情報からはじめ、費用・期間をわかりやすく解説していきます。


すきっ歯とは、歯間に隙間がある歯並びの状態のことです。
医療分野では、
とそれぞれ定義されています。
俗に言う「すきっ歯」はこれらを合わせた俗称であり、同じすきっ歯でも「空隙歯列弓」か「正中離開」かで矯正にかかる費用や期間が変化することがあります。
例えば、前歯を中心に複数の隙間がある「空隙歯列弓」の場合、歯の角度を修正するだけで済むようなケースでは部分矯正が適用でき、比較的低コストかつ短期間での治療が可能となります。
対して、前歯の中心に大きな隙間がある「正中離開」は、歯の土台ごと動かす必要があり、全体矯正になることがあります。この場合は治療範囲や歯の移動量が多い分、費用や期間も増えるのが一般的です。
すきっ歯になる原因には、「先天的な要因」と「後天的な要因」の両方があります。
先天的な要因の代表例としては、歯と顎の大きさのミスマッチが挙げられます。顎の骨格が大きい一方で歯が小さい(矮小歯など)場合や、歯の本数が少ない場合には、歯列に隙間が生じやすくなります。
後天的な要因は、舌突出癖(ぜつとっしゅつへき)が代表例です。舌突出癖は、舌で前歯を強く押す癖のことで、少しずつ歯が前方に押し出されて隙間が広がるリスクがあります。この悪習慣が原因で、奥歯を噛んでも前歯が噛み合わず、大きな隙間ができる開咬(オープンバイト)を併発することもあります。
さらに、大人の場合は歯周病の進行も隙間を生じさせる一因です。歯周病で歯槽骨が吸収されると、歯がグラグラになり、結果として位置がずれて歯列に隙間ができることがあります。
一般的なすきっ歯の矯正治療は、基本的に健康保険の適用外(自費診療)です。
すきっ歯に限らず、歯列矯正は「病気の治療」ではなく「美容的・機能的改善のための処置」とみなされており、多くのケースで保険適用にはなりません。したがって、一般的な歯列矯正は、患者の全額自己負担による自由診療となり、費用も各歯科医院が独自に設定した金額を支払う必要があります。
ただし例外的に、保険適用となるケースもあります。具体的には、厚生労働大臣が定める先天異常などの特定の疾患に起因する咬合異常の場合、前歯および小臼歯の永久歯のうち3歯以上が生えてこない萌出不全を起因とする咬合異常、先天的な骨格以上を起因とする顎変形症の場合では、矯正歯科治療が保険診療の対象となります。
これらに該当する場合に限り、公的医療保険が適用されますが、一般的なすきっ歯の矯正はこれらの条件に当てはまらないため、保険では矯正できないと考えておきましょう。
症例次第ですが、部分矯正による「前歯だけ」の矯正治療は可能です。
前述のとおり、対象となるのは局所的な治療で済み、なおかつ「軽度」と診断されるような状態であれば、多くの場合は部分矯正による治療を受けることができます。
ただし、すきっ歯の根本原因が他にある場合は別です。例えば、歯列全体がガタガタの叢生(そうせい)である場合や、噛み合わせのバランスに問題がある場合などは、前歯だけ動かしても根本的な解決にはなりません。そのようなケースでは、全体矯正による根本原因の改善を含めた治療計画が推奨されます。
すきっ歯を自力で治すことはできません。試みること自体が大変危険な行為となります。
矯正歯科での治療は、精密検査を元に患者一人ひとりに合わせた治療計画を作成します。その上で、専用の矯正装置を使用し、常に適切な力かつ0.1ミリ単位で精密に歯を移動させます。
一方、素人が自己流で前歯を押したり、輪ゴムで矯正しようとしても、思うように隙間が閉じることはありません。むしろ不適切な力で歯を動かそうとすると、歯列全体がさらに乱れたり、歯を支える骨や歯ぐきに負担をかけて歯そのものの寿命を縮めてしまうリスクがあります。
こうした理由から、すきっ歯を治したい場合は必ず歯科矯正の専門医に相談し、適切な方法で安全に治療を行うようにしてください。
|
治療方法 |
平均費用 |
主な特徴 |
|
表側矯正 |
部分矯正:30万〜60万円程度 全体矯正:60万〜130万円程度 |
適応症例は幅広いが、装置が目立つ |
|
裏側矯正 |
部分矯正:40万〜70万円程度 全体矯正:100万〜170万円程度 |
適応症例は幅広いが、非常に高額 |
|
ハーフリンガル矯正 |
全体矯正:65万〜135万円程度 ※部分矯正はありません |
表側と裏側のいいとこどりだが、高額 |
|
マウスピース矯正 |
部分矯正:20万〜40万円程度 全体矯正:60万〜100万円程度 |
適応症例は限定的だが、目立たず安い |
すきっ歯の矯正費用は、治療方法(装置の種類)や治療範囲(部分矯正か全体矯正か)によって大きく異なります。ここでは下記の代表的な治療方法を例に費用相場を紹介していきます。

表側矯正の費用相場は、部分矯正で約30万〜60万円、全体矯正で約60万〜130万円です。
表側矯正は、歯の表面にブラケットとワイヤーを装着する最も一般的な矯正方法のことです。装置が非常に目立つというデメリットはあるものの、あらゆる症例に適応できる柔軟性が最大の利点と言えます。
なお、見た目については審美ブラケット(白色のブラケット等)に変更することで、一定の審美性を保つことはできます。ただし、いずれもオプションとなるため追加費用がかかる点には注意しましょう。

裏側矯正の費用相場は、部分矯正で約40万〜70万円、全体矯正で約100万〜170万円です。
裏側矯正(舌側矯正)は、歯の裏側にブラケットやワイヤーを装着する方法です。正面から装置が見えないため、審美性が非常に高いのが最大の特徴です。
一方で、装置がオーダーメイドになることや高度な技術を要することから、費用は他の治療方法に比べて高額になる傾向にあります。特に技工料が高く、定期通院の度にかかる調整料などのランニングコストがかさむ可能性があるため、装置代だけでなく総費用を試算しておくことをおすすめします。

ハーフリンガル矯正の費用相場は、約65万〜135万円です。
ハーフリンガル矯正は、上の歯に裏側矯正、下の歯に表側矯正を施す治療方法です。こうすることで一定の審美性を保ちつつ、費用をも抑えることができるという、表側と裏側のいいとこどりなのが特徴です。
なお、こちらは全体矯正に限った治療方法となります。言うまでもありませんが、部分矯正は片顎のみの治療となるため、ワイヤー矯正による部分矯正は「表側矯正」と「裏側矯正」の二択となります。

マウスピース矯正の費用相場は、部分矯正で約20万〜40万円、全体矯正で約60万〜100万円です。
マウスピース矯正は、透明なマウスピース型の装置を定期的に交換しながら歯並びを整える方法です。主な特徴は、装置が非常に目立ちにくいこと、治療中の痛みが少ないこと、取り外し可能で歯磨きがしやすく、食事制限が少ないことが挙げられます。
一方、患者自身が装着時間を自己管理する必要があることがデメリットです。一般的に1日20〜22時間以上の装着が必要であり、装着時間が不足すると治療期間が伸びて費用がかさむことがあります。また軽度~中等度の症例の治療を中心としており、重度症例の場合は医院が限られる点に注意が必要です。
月々3,000円〜
\ 料金プランをチェック /

歯列矯正には、歯を動かす「動的治療」と、動かした歯を安定させる「保定期間」の2工程で行います。
まず「動的治療」の期間は、部分矯正なら半年〜1年程度、全体矯正なら1年〜3年程度が目安です。主に動かす必要のある歯の本数、歯の移動距離で期間が前後し、特に抜歯が必要な難症例では長期治療になる傾向があります。
続いて「保定期間」ですが、期間は医師の方針で変わります。一般的には1〜3年程度の保定期間が設けられることが多いですが、「生涯にわたる保定期間が必要」と考える医師もいます。なお、保定期間中も3ヶ月に1回、半年に1回といった形で定期通院による経過観察があり、一定の費用がかかります。
したがって、治療期間はトータルで1年半〜4年、難症例の場合は6年近くかかることもあります。
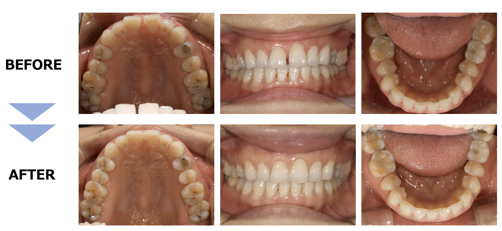
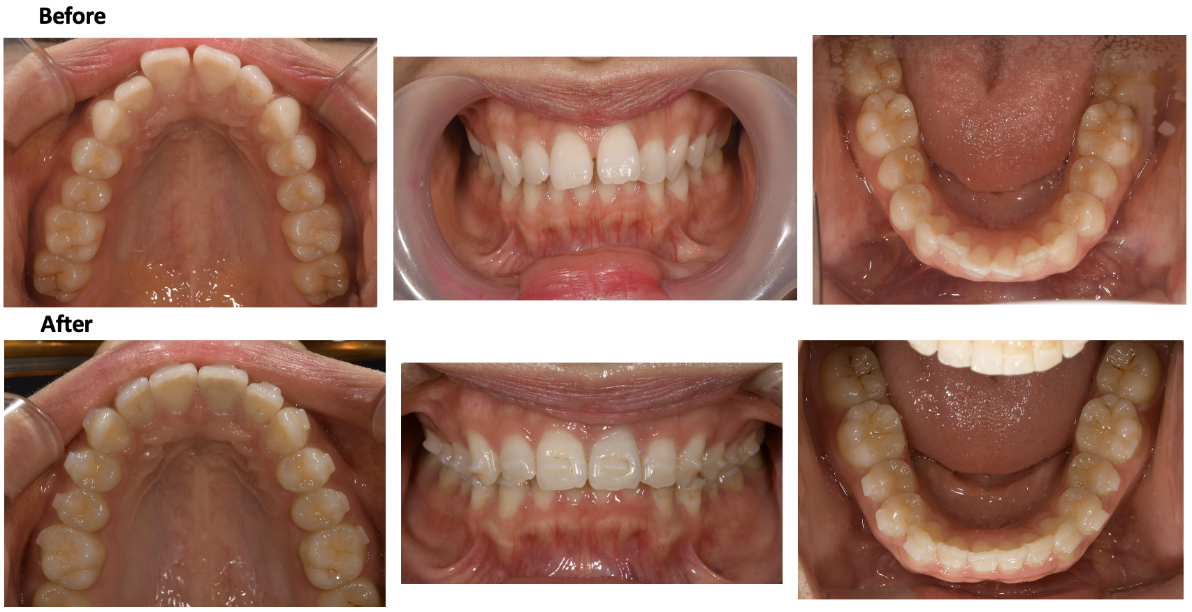
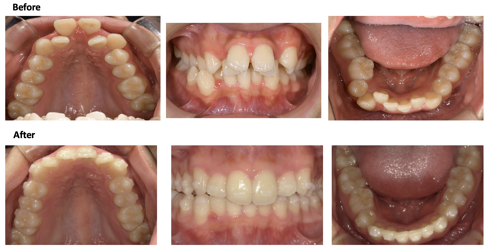
ここでは当社『マウスピース矯正ローコスト』で行われた「すきっ歯の矯正治療の症例」を5つ紹介していきます。

|
症例 |
下前歯の空隙歯列弓 |
|
治療プラン |
- |
|
治療総額 |
約18万円(税込) |
|
治療期間 |
約2ヶ月半 |
※効果には個人差があります

|
症例 |
上前歯の空隙歯列弓 |
|
治療プラン |
ライトプラン |
|
治療総額 |
33万円(税込) |
|
治療期間 |
約2ヶ月 |
※効果には個人差があります

|
症例 |
正中離開 |
|
治療プラン |
スタンダードプラン |
|
治療総額 |
55万円(税込) |
|
治療期間 |
約4ヶ月 |
※効果には個人差があります

|
症例 |
正中離開、上下顎前突(上下前歯の出っ歯) |
|
治療プラン |
インビザラインプラン |
|
治療総額 |
88万円(税込) |
|
治療期間 |
約10ヶ月 |
※効果には個人差があります

|
症例 |
正中離開、上顎前突(上前歯の出っ歯)、叢生(乱ぐい歯) |
|
治療プラン |
インビザラインプラン |
|
治療総額 |
88万円(税込) |
|
治療期間 |
約1年 |
※効果には個人差があります

きれいな歯並びに憧れるけれど、「費用が高い」「通院が大変」「矯正が目立つのが不安」と感じていませんか?
そんな方は、新宿駅直結で通いやすい『マウスピース矯正ローコスト専門クリニック』にぜひご相談ください。
料金は業界最安水準の総額17.6万円〜、経験豊富な歯科医師による丁寧なカウンセリングで、あなたの歯並びに最適な治療方法をご提案します。
まずはお気軽にご相談ください。
実際にマウスピース矯正を経験した100人にアンケートを実施して、かかった費用の総額や満足度などを詳しく調査しました。
アンケート内の「矯正にかかった総費用を教えてください。」という質問に対して、最も多かった回答は「20〜40万円」(27%)と「40〜60万円」(26%)でした。
次いで「60〜80万円」(14%)、「10〜20万円」(10%)が続き、全体の平均費用は約51.8万円という結果となりました。
一方、アンケート回答で当社の「マウスピース矯正ローコスト」を実際に利用された方に絞って集計したところ、平均総額は39.4万円。全体平均と比べて、約12万円安く矯正できたという結果が得られました。
通院回数が少なく、忙しくても続けやすかったです。費用も抑えられて、結果にも満足しています
費用を抑えるために、複数の歯科医院で無料相談を受け、料金を比較しました。必要最低限の処置で済むようにしました。
見た目が自然で、歯磨きや食事が普段通りにできるのが良かった。矯正中のストレスがほとんどありませんでした。
透明で目立たず、接客業でも気にならずに装着できました。取り外しもできて衛生的で、痛みも少なかったです。
マウスピース矯正経験者のアンケートから、実際にかかった費用や口コミを紹介させていただきました。
マウスピース矯正は、選ぶブランドによって費用や満足度が大きく変わります。後悔しないためには、料金だけでなく、通院頻度・サポート体制・治療の透明性といった要素も比較することが大切です。
参考:マウスピース矯正おすすめブランド13選|各社の料金・期間を徹底比較
お悩みや疑問がある方は、ぜひ新宿駅直結の専門クリニックにてお気軽にご相談ください。
まずはお気軽にご予約ください