
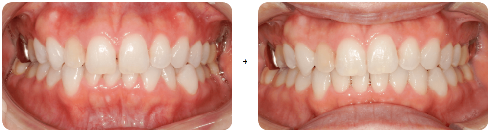
結論から言うと、DPEARLの口コミはインフルエンサーや提携者によるPR投稿が目立ち、純粋な利用者からのレビューが少ないのが現状です。特に「治療後に歯並びがキレイに整った」といった矯正効果を実感するような声は、公式インタビュー以外ではほとんど確認できない状態です。
なお、全国の提携クリニック(DPEARL Spot)に関して、Googleレビューで平均★4以上と高い評価を受ける医院も数多くありますが、各院で提供されている他社ブランド(主にインビザライン)に対する評価が混在しているため、DPEARL固有の評価として見るのには注意が必要です。
上記を踏まえ、ここではPR要素の少ない口コミに厳選し、高評価/低評価のレビューをそれぞれ紹介していきます。
高評価のレビュー
#dpearl
歯科矯正の無料診断受けてみた!
3Dスキャンと価格破壊にワクワクするー😊
ドクターの方も良い人で、安心感ありましたね!
引用元:X(旧Twitter)
今回 @dpearl_official のマウスピース矯正をご紹介頂いて、まずはお話を聞いてみようと思い、日本橋室町デンタルクリニックで先生に色々お伺いしてきました☺️
私が感じたマウスピース矯正のメリットは
✔︎付けていても目立たない
✔︎外せるのでワイヤー程のストレスを感じない
(常に口の中に矯正器具が入っている事に耐えられるのか不安だったので‥)
✔︎ワイヤーよりも短期間で安価
マウスピース矯正は3Dシミュレーションで治療計画を行うのですが、カウンセリングでは何パターンものレントゲン撮影、歯型取りなどをしていただきました。
Eラインを整えるために抜歯も考えていましたが、健康な歯を抜くのは‥という気持ちもあり決めきれなかったのですが💦
マウスピース矯正では抜歯という選択の代わりに、ディスキングという少し歯の横側を削ってその隙間を埋めていく治療法があるとの事。
1ヶ月後にシミュレーションが出来上がるので、その結果を見て矯正を進めるか決めようと思っています😊
引用元:instagram
@dpearl_official で嬉しいところは、マウスピース矯正は1,2週間で新しいものに付け替えをしていくのですが、まず送られてくるBOXが可愛い♡モチベーション保つためにこういうの大事ですよね🥰
また1ヶ月に1回クリニックで診てもらえる、専用のアプリが開発されていてサポート体制が万全などなど。
私もまだカウンセリングのみなので、進める事になったらまたご紹介していきますね✨
次回が楽しみです。
引用元:instagram
低評価のレビュー
DPEARL(ディパール)の歯科矯正を、40-50万円と2年近くかけて行った。その後通った別の歯科2件で、歯科矯正になってない、「中心がズレてる」「奥歯で噛めてない」と同じことを言われ、歯科矯正のやり直しを提案された。あの時に戻れるなら、絶対に格安歯科矯正は選ばない
引用元:X(旧Twitter)
マウスピース矯正考えてる人に絶対DPEARLは勧めない。
まじで歯医者の腕が良くてもディパールの対応がクソ。ちゃんと教育しろよ。
なんでもだよ向こうのミス。
引用元:X(旧Twitter)
マウスピースを着け始めて1週間が経ちました🦷✨
ので新しいマウスピースに交換です!
1週間から10日の頻度で交換するのも私はびっくりポイントでした🫢‼️
マウスピースを着ける処置をした初日はマウスピースを着けてても変な感じだし、食事のために外してもアタッチメントをつけたせいなのか食べにくいし噛みにくいし違和感満載で(笑)
先が思いやられるほどでした💦
…が、慣れって凄いですね(怖いですね)
今ではもう、食事も普通にしています(食べるの大好き♡)
今週末は2daysでLIVEに行ったりと小旅行もあるので
このセット共に楽しみます✈️✨
#DPEARL#マウスピース#マウスピース矯正 #歯科矯正
#このド暑い中生きて帰って来れるのか乞うご期待
引用元:instagram
利用者の体験談から分かること
高評価の口コミからは、料金の手頃さや治療の手軽さなどに満足している声が見られました。
特に「価格破壊にワクワクした」という投稿や「ワイヤーより短期間で安価」といった費用に関するメリットを挙げる声が多く見られています。他には月1回の通院サポートや専用アプリによるフォロー体制について「サポートが万全」と評価する声もあります。
一方、低評価の口コミでは「2年かけて治療を受けたが、別の歯科医院2件で矯正のやり直しを勧められた」など、マウスピース矯正ブランドとしては致命的なレビューも見受けられました。またサポート体制について高評価の声があるのに対し、「対応が最悪」という真逆の意見も見られます。
総合すると、賛否両論なマウスピース矯正ブランドであることは否めません。料金も約30万〜70万円と特別安いわけでもないため、担当医とよく相談の上、他のブランドやワイヤー矯正も視野に入れて検討する方が無難でしょう。